特色诊疗

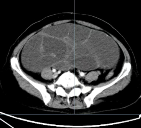
  • 重达10余斤肿瘤成功切除——医院妇科肿瘤科成功为一例患者切除巨大卵巢肿瘤

    患者五年前因排尿不适于当地医院检查发现腹腔内巨大的囊实性肿瘤和双侧肾积水,因合并股静脉和髂总静脉血栓以及高血压,在过去的五年里,她辗转省内多家医院,其中不乏三级甲等医院,都因为手术风险大,不敢手术。五年内,患者先后在三家医院,进行...

  • 儿童呼吸与重症医学科团队闪电施救,让危重患儿重获呼吸

    凌晨急诊!患儿命悬一线1月25日清晨5点,夜色尚未褪去,儿科急诊的走廊里突然传来急促的脚步声,洋洋(化名)爷爷焦灼的呼喊:“大夫!大夫!救救孩子!从凌晨2点哭到现在,喘得特别厉害!”。急诊医生见状瞬间警觉,洋洋哭闹不止,无法安抚,嘴唇...

  • 医院2026年又一例肺移植患者顺利康复出院

    新春将至,生机盎然。医院胸外科联合多学科团队再创生命奇迹,2026年又一例肺移植患者在历经精准诊疗、创新围术期护理与个性化康复后,近期顺利出院。这例手术融合前沿技术应用与人文医疗关怀,不仅为终末期肺部疾病患者点亮生命之光,更彰显了医院...

  • 硬质气管镜下极限挑战,为单肺通气患者打通“最后的气道”

    时间倒回半月前。“鲁主任,我父亲...咳...又喘不上气了...”,张先生的儿子拿着最新的CT片,手指微微颤抖,快步跑进医院呼吸与危重症医学科副主任鲁德玕的办公室。患者胸部CT上清晰显示:主气管内新生物几乎填满了管腔,只留下一条月牙一样的极窄...

  • 2844克!胸外科成功为一例82岁高龄患者切除巨大胸腔肿瘤

    该患者8年前曾因胸腔脂肪肉瘤在外院接受手术切除,此次复查时发现胸腔内出现巨大肿物,临床考虑为脂肪肉瘤复发。更为棘手的是,患者基础疾病复杂,3月前刚因冠心病接受冠状动脉支架植入术,同期还确诊急性/亚急性脑梗,多重基础病叠加使手术风险陡...

  • 妇科机器人辅助阴道顶端骶骨固定术:精准微创,守护女性盆底健康

    病例:矮小腹型肥胖患者的精准治疗王女士,55岁,身高151cm,体重65kg(BMI28.5),因“阴道脱出物伴排尿困难2年”入院。查体:腹型肥胖,腹部脂肪堆积明显,盆腔器官脱垂POP-Q分期Ⅲ度。手术难点:身材矮小,盆腔空间狭小,传统腹腔镜操作困难腹型...

  • 胃肠外科成功完成一例巨大血友病腹腔假肿瘤切除术

    近日,山一大一附院(省千佛山医院)胃肠外科朱健康教授团队成功为一名长期受血友病困扰、合并罕见巨大腹腔假肿瘤的患者实施手术治疗。该患者曾辗转国内多家医院求医,均因病情复杂、手术风险极高未能开展治疗,最终慕名来到山一大一附院,在多学科...

  • 医院经皮肺动脉取栓支架系统取栓成功救治一例急性PTE伴咯血者

    近日,医院呼吸与危重症医学科经皮肺动脉取栓成功救治一名急性中高危肺栓塞伴咯血患者。患者因“左侧胸痛2天”来诊,心率104次/分,血压140/82mmHg,SPO292%,D-二聚体2.34mg/L,院外CTPA示左右肺动脉远端及左下肺动脉大块充盈缺损。对患者进行全面...

  • 生命守护战:多学科协作为特殊高龄患者“完美”除痔——肛肠科成功救治一名复杂基础病重度肛肠病患者纪实

    在山一大一附院(省千佛山医院)的一间病房里,68岁的冯奶奶正安详地吃着水果,脸上洋溢着孩童般纯真的笑容。谁能想到,这位智力仅如四五岁幼儿的老人,刚刚经历了一场高难度的肛肠外科手术。她的康复,不仅是山一大一附院肛肠科技术实力的体现,更...

  • 医院完成一例GPI缺乏症患儿造血干细胞移植,为罕见遗传性溶血性贫血患儿家庭点燃新希望

    近日,医院儿童血液科成功为一名患有葡萄糖磷酸异构酶(glucose-6-phosphateisomerase,GPI)缺乏症的4岁患儿睿睿(化名)完成亲缘单倍体造血干细胞移植。据悉,这是国内首次通过该技术成功治愈GPI缺乏症的案例,为全国同类罕见疾病患者带来了根治...

预约方式 专家查询 报告查询 互联网医院
微信服务号
微信订阅号