医院经皮肺动脉取栓支架系统取栓成功救治一例急性PTE伴咯血者
近日,医院呼吸与危重症医学科经皮肺动脉取栓成功救治一名急性中高危肺栓塞伴咯血患者。
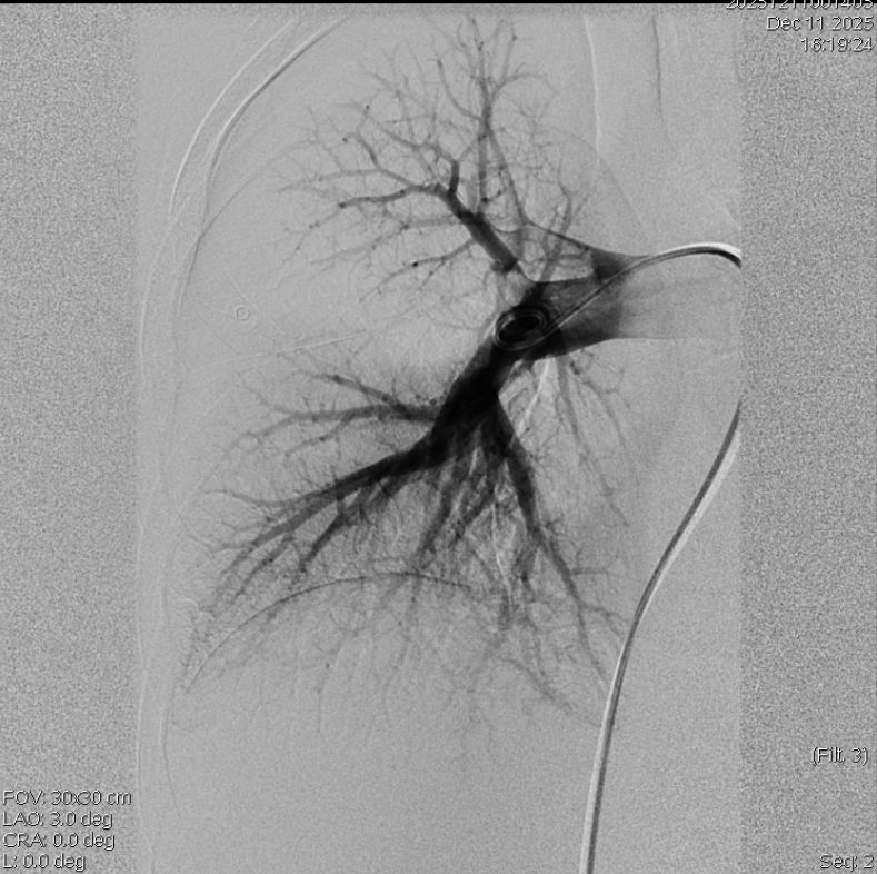
患者因“左侧胸痛2天”来诊,心率104次/分,血压140/82mmHg,SPO2 92%,D-二聚体2.34mg/L,院外CTPA示左右肺动脉远端及左下肺动脉大块充盈缺损。对患者进行全面详细的评估后,肺栓塞与肺血管疾病亚专业王光海主任团队考虑急性中高危肺栓塞伴小量咯血,存在充分抗凝及出血的矛盾困境,同时血栓以近端为主,为降低肺栓塞的高危恶化风险,快速有效清除血栓、降低出血风险、减少后期CTEPH的发生,科室讨论后遂行肺动脉造影+经皮肺动脉取栓术。


左、右肺动脉造影


术中导管抽吸血栓、支架取栓
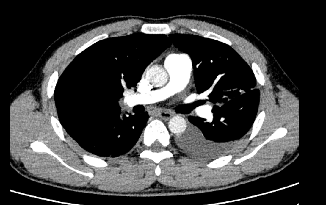
术前心率100次/分左右,SPO296%,术中肺动脉压40/20(27)mmHg,术后心率降至84次/分左右,SPO2升至98%;术后患者胸闷不适症状完全消失,复查CTPA示双侧肺动脉充盈缺损显著缩小,血栓负荷显著下降,术后心脏彩超估测SPAP 22mmHg,活动后无不适,快速改善症状,显著缩短住院时间。




术前、术后CTPA
肺血栓栓塞症(PTE)是肺栓塞的最常见类型。急性PTE患者如未得到及时诊治,或治疗后血栓不能完全溶解,可出现持续活动耐力受限及生活质量下降,导致肺栓塞后综合征,血栓逐渐机化阻塞肺血管床,继而演变成慢性血栓栓塞性肺疾病(CTEPD),甚至慢性血栓栓塞性肺动脉高压(CTEPH)。急性PTE在危险分层指导下的高危/中高危治疗策略中,除了一般的支持治疗及抗凝治疗,对于肺动脉主干或主要分支血栓,存在高出血风险或溶栓禁忌以及经溶栓或积极的内科治疗无效的患者。经皮肺动脉取栓术是一种良好的介入治疗选择,可以迅速清除阻塞肺动脉血栓,改善肺动脉血流,从而迅速缓解症状,防止病情进一步恶化,给患者带来更安全、高效的治疗选择。
近年来,医院呼吸与危重症医学科肺栓塞与肺血管疾病亚专业在肺血管介入如右心导管检查、急性肺血管反应试验、肺动脉造影术、肺动脉活检、肺动脉球囊扩张术(BPA)取得了长足的发展。此次经皮肺动脉取栓术为高危/中高危急性PTE的治疗带来新希望,具有创伤小、恢复快、并发症少的优势,结合BPA的临床应用,对急性PTE及后期CTEPH的诊治更加系统安全有效。
扫一扫 手机端浏览

微信服务号
微信订阅号