胃肠外科成功完成一例巨大血友病腹腔假肿瘤切除术
近日,山一大一附院(省千佛山医院)胃肠外科朱健康教授团队成功为一名长期受血友病困扰、合并罕见巨大腹腔假肿瘤的患者实施手术治疗。该患者曾辗转国内多家医院求医,均因病情复杂、手术风险极高未能开展治疗,最终慕名来到山一大一附院,在多学科团队协作下顺利康复,重获健康。

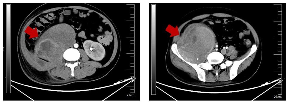
据悉,该患者确诊血友病近20年,病程中逐渐出现腹腔假肿瘤,伴随剧烈腰疼、腹痛、腹胀等症状,且肿瘤持续增大,直径近15公分,压迫右侧腰大肌,导致无法弯腰、行走,严重影响生活质量,进一步发展甚至会危及生命。因血友病患者凝血功能存在先天性缺陷,手术出血风险极高,且腹腔假肿瘤巨大,与周围组织脏器关系密切,手术难度极大,患者辗转多地求医无果,治疗陷入困境。

抱着最后一线希望,患者来到山一大一附院胃肠外科就诊。胃肠外科主任朱健康教授接诊后,高度重视患者病情,第一时间详细研判病史、影像资料,充分评估患者凝血功能与手术耐受度。考虑到病情复杂,单一科室难以完成精准诊疗,朱健康教授牵头迅速组织骨关节科、影像科、泌尿外科、血液科等科室专家开展多学科会诊。影像科对假肿瘤的范围及与周围重要脏器及大血管的关系进行了精准分析;骨关节科从血友病凝血管理及与假肿瘤与周围脏器关系方面提出专业指导;泌尿外科则对术中可能涉及的泌尿系统结构进行了风险评估;血液科对血友病患者围术期药物应用方案进行了专业建议。经过充分讨论,专家团队最终敲定个体化手术方案,同时制定周密的围手术期凝血管理、出血防控预案,为手术安全保驾护航。

MDT讨论
手术当日,在麻醉科的严密监护下,朱健康教授团队按照既定方案稳步推进。首先请泌尿外科术中放置输尿管支架,保护同侧输尿管等器官。术中探查发现假肿瘤体积巨大,与周围组织粘连严重,且存在大量陈旧性血肿,处理难度极高。团队凭借丰富的临床经验和默契的协作,成功完成肿物切除及周围组织修复,整个过程出血控制理想,手术顺利完成。术后,医护团队密切监测患者生命体征与凝血功能,精准调整抗凝、止血治疗方案,患者恢复平稳,各项指标逐步恢复正常,顺利康复出院。
此次手术的成功开展,不仅为血友病腹腔假肿瘤患者带来了新生,更充分彰显了山一大一附院胃肠外科在处理血友病及相关并发症等复杂疑难疾病诊疗中的过硬实力,以及多学科联动保障医疗安全与疗效的显著优势。未来,胃肠外科将持续深耕疑难重症诊疗,优化多学科协作机制,为更多疑难病患者提供更优质、高效的医疗服务。
扫一扫 手机端浏览

微信服务号
微信订阅号