医院胃肠外科成功完成一例巨大血友病腹腔假肿瘤切除术
发布时间:2025-10-12 08:27
本文来源: 普外中心-胃肠外科 供稿:
张文杰
分享到:
病情疑难危重
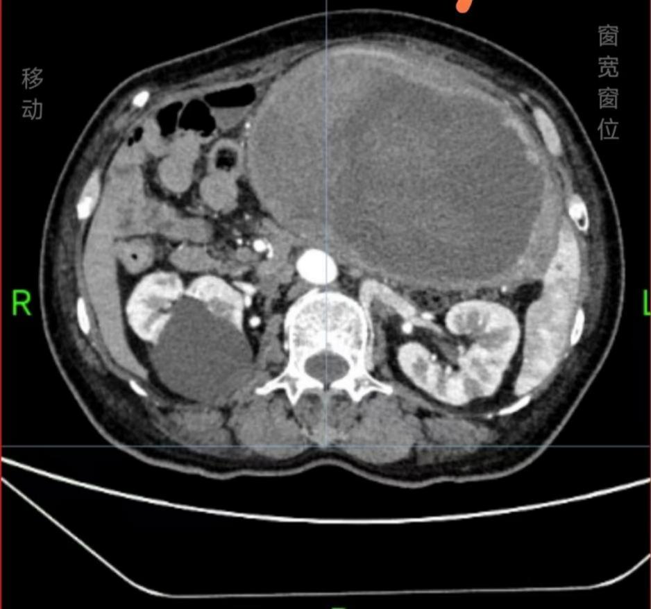
患者患血友病数十年,4年前发现腹腔肿物,辗转多家医院寻求手术治疗,均因手术风险高建议保守治疗,但保守效果并不理想,腹腔肿物不断增大。2月前患者出现腹痛加重和肠梗阻症状,腹腔肿物已达19.3*10.9cm,了解到医院高超的手术水平和丰富的血友病救治经验,遂来院求医,首诊于消化内科,后转入胃肠外科。

MDT团队会诊
胃肠外科朱健康主任医师考虑患者肿瘤巨大,病情复杂,邀请消化内科、放射科、血液科、麻醉科、重症医学科等进行MDT会诊,会诊意见认为腹腔肿瘤为血友病假肿瘤,且出现肠梗阻,手术指征明确,制定详细的围手术期治疗方案。

重大手术突破
进行了充分的手术准备后,在胃肠外科张光永教授指导下朱健康团队为患者进行了手术治疗,术中发现假肿瘤为胃来源,和横结肠及部分小肠黏连紧密并致肠梗阻,团队克服肿瘤巨大、腹腔黏连严重且需多器官联合切除等重重困难,将肿瘤及部分结肠、小肠切除,术后病理证实为血友病假肿瘤。患者术后恢复顺利,现已康复出院。
血友病假肿瘤是血友病患者因凝血功能障碍导致的一种罕见并发症,本质是肌肉、骨骼及其他组织发生的囊性血肿。血友病患者因凝血因子缺乏,轻微创伤或自发性出血后,若凝血因子替代治疗不充分,血液在肌肉、骨骼及其他组织内持续积聚,形成包裹性血肿。长期反复出血使血肿增大,压迫周围组织,类似肿瘤表现。

此例患者的成功救治体现了医院胃肠外科多学科诊疗团队高水平的团队协作能力,标志着医院在血友病相关合并症等急危重症诊疗方面迈上了一个新台阶。
扫一扫 手机端浏览

微信服务号
微信订阅号