高血压科完成一例Type1型二叶瓣极简式TAVR手术
近日,山一大一附院(省千佛山医院)高血压科姚玉才主任团队成功为1例Type1(LN)型二叶瓣重度狭窄患者实施了极简式经导管主动脉瓣置换术(TAVR),治疗效果满意。这也标志着科室在“复杂冠心病介入治疗”“难治性高血压经皮去肾交感神经术(RDN)介入治疗”“结构性心脏病介入治疗”方面形成更加完善的技术优势。
一. 患者基本资料:
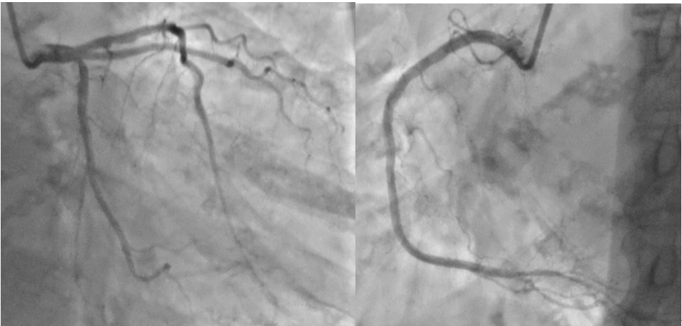
女,73岁,因“阵发性胸闷气短1年,加重1月”入院。既往“高血压”病史10年;冠心病及“糖尿病”病史16年。体格检查:T36.3℃ P55次/分 R16次/分 Bp115/57mmHg H157cm BW65Kg 主动脉瓣听诊区可闻及4/6级喷射样杂音。化验血肌酐107umol/L,余生化结果未见异常。心脏彩超(图1)示重度主动脉瓣狭窄。入院诊断:主动脉瓣重度狭窄、冠心病。冠脉造影(图2)示:前降支近段弥漫性病变伴钙化、最重狭窄50%;回旋支中段弥漫性病变伴钙化、最重狭窄30%;无介入治疗指征。

(图1 术前心脏超声显示主动脉瓣重度狭窄)

(图2 术前冠脉造影)
二.TAVR术前CT评估(图3-5):
Type1(LN)型二叶式主动脉瓣,瓣叶轻度钙化并增厚,钙化分布不均匀;双侧冠脉开口高度可;瓦氏窦可、窦管交界可、升主动脉可、左室心腔内径可;主动脉瓣环水平夹角41°;双侧髂股走形可, 双侧髂股动脉内径可。全面评估后决定在导管室、局麻下行极简式TAVR。

(图3)

(图4)

(图5)
三.手术过程:
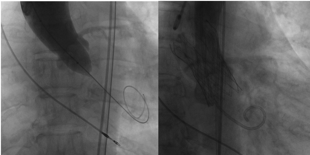
常规消毒铺巾,2%利多卡因局麻,穿刺左锁骨下静脉,置入临时起搏电极至右心室心尖部,连接临时起搏器备用。超声引导下穿刺左股动脉成功后置入7F鞘,送6F猪尾导管至无冠窦底。超声引导下穿刺右股动脉预置2把Proglide缝合器后置入6F鞘,JR造影导管送预塑型加硬导丝至升主动脉,沿加硬导丝送20F大鞘至降主动脉,沿大鞘送6F AL2导管及直头导丝跨主动脉瓣至左室心尖,交换145°猪尾导管送至左室测跨瓣压差为10mmHg,送预塑型加硬导丝至左室心尖部,在加硬导丝支撑下送18mm球囊跨主动脉瓣,临时起搏180次/分、扩张球囊、造影、撤球囊、停起搏,在加硬导丝支撑下送佩嘉23mm自膨瓣跨主动脉瓣,临时起搏180次/分、精确定位后释放瓣膜至极限位、停起搏,造影及经胸超声评估跨膜压差10mmHg、无返流、无明显瓣周漏及心包积液、冠脉未受影响,遂完全释放瓣膜(图6)。经胸超声评估瓣膜位置良好,窦性心律,63次/分,遂撤出瓣膜输送系统。撤出20F大鞘、右侧股动脉入路使用预置Proglide缝合器处理后,对侧翻山造影未见右股动脉出血,无血肿、右足背动脉搏动好。用Angioseal血管闭合器处理左侧股动脉穿刺处,穿刺处无出血及血肿、左足背动脉搏动好。双侧股动脉加压包扎。术中给肝素5000单位。保留临时起搏电极,安返病房。术后24小时下床活动、48小时后拔除临时起搏电极、3天后康复出院。

(图6 18mm球囊预扩、佩嘉23mm自膨瓣完全释放)
四.高血压科特色技术简介:
1.复杂冠心病介入治疗:包括心梗、心衰、心源性休克、肾衰、高龄等复杂危重患者;包括左主干、前三叉、慢性完全闭塞、血栓、钙化扭曲、桥血管、小血管、支架内再狭窄等复杂病变;包括旋磨、逆向、ADR、DKmini-cullotte、药物球囊等复杂技术;包括IVUS、OCT、FFR等多模态腔内影像技术;包括IABP、ECMO等循环支持手段;包括处理心包填塞、血管破裂、急性闭塞、支架脱载、器械断裂、过敏性休克、急性出血等各种并发症经验丰富;技术力量雄厚。
2. 难治性高血压经皮去肾交感神经术(RDN)介入治疗:难治性高血压是心血管常见病症,高血压科在难治性高血压的药物治疗方面有丰富临床经验,并且成功开展经皮去肾交感神经术(RDN)、走在学术前沿;对于继发性高血压的鉴别诊断有系统规范的诊疗方案,常规开展肾静脉取血术。
3. 结构性心脏病介入治疗:包括房间隔缺损、室间隔缺损、动脉导管未闭、卵圆孔未闭的封堵术;包括经导管主动脉瓣置换术(TAVR)、经皮二尖瓣球囊扩张术(PBMV)、经导管二尖瓣缘对缘修复术(TEER);先后开展院内首例ICE指导下复杂室缺封堵术、极简式经导管主动脉瓣置换术(TAVR),患者清醒、局麻、创伤小、恢复快、效果好。
扫一扫 手机端浏览

微信服务号
微信订阅号